Precision Peel is eCO2 3D’s signature low-downtime resurfacing protocol, designed for patients seeking visible improvement in texture, tone, and radiance without the recovery associated with traditional CO2 treatments. Powered by the eCO2 3D laser’s three unique tips, Precision Peel treatments can be performed quickly and comfortably, making them ideal for new patients, maintenance regimens, or event prep.
The eCO2 3D laser is the most versatile CO2 laser in aesthetics, designed for gentle touchups, total transformations, and everything in between. You can choose gentle, low-downtime sessions with Precision Peel or a single treatment with more dramatic results. Your provider can help you create a treatment plan that’s right for you.
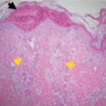
eCO2 3D treatments help improve skin by using your body’s natural healing process to create new tissue and collagen, making your skin look younger and healthier.
Immediately after treatment – Fractional laser energy creates micro-ablated columns to stimulate cellular regrowth. The surrounding healthy tissue promotes rapid healing.

Two days post-treatment – Skin is healing on the surface and creating new dermal collagen. This will continue for up to six months. The improved skin quality will make for a more youthful appearance.
Find a Provider
Intended for distribution in US and Canada.
©2025 CYNOSURE LUTRONIC, INC. All Rights Reserved. eCO2 3D and Controlled Chaos Technology are trademarks of Lutronic Aesthetic, Inc. Cynosure, LLC and Lutronic Aesthetic, Inc. do not diagnose or treat medical conditions, prescribe treatment protocols, provide medical advice, or otherwise practice medicine. Dr. Gilly Munavalli is a paid consultant.
The eCO2 3D aesthetic workstation is indicated for the following: Skin resurfacing, wrinkles and fine lines, furrows, scars, acne scars, surgical scars, textural irregularities, dyschromia, pigmented lesions, lentigines, actinic & solar elastosis, actinic keratosis, precision ablation and/or vaporization of soft tissue in dermatology and plastic surgery, coagulation & resurfacing of soft tissue, keloids, xantheplasma palpebrarum, syringoma, laser derm ablation, debridement, and vaporization, ablation, vaporization, excision, incision, and coagulation of soft tissue.
To download free paper, fill out the form on the right